Today, because of changing busy lifestyle, accidents and injuries, trauma are increasing day by day. Dr.shailendra Patil has trained himself in a hospital which was located on the express highway, so he has first hand in handling almost all kinds of trauma patients.At bone & joint care centre, we have managed fractures of various joints due to accidents or osteoporosis.We generally do all kinds of Plating, Nailing or Putting various implants to manage complicate & complete fractures.
Fractured Femur Before & after surgery

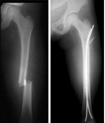
Fractured tibia & fibula at condylar region before & after surgery.

Fractured Radius & Ulna bones before & after surgery.
